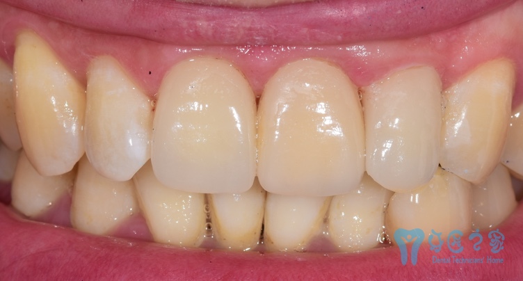
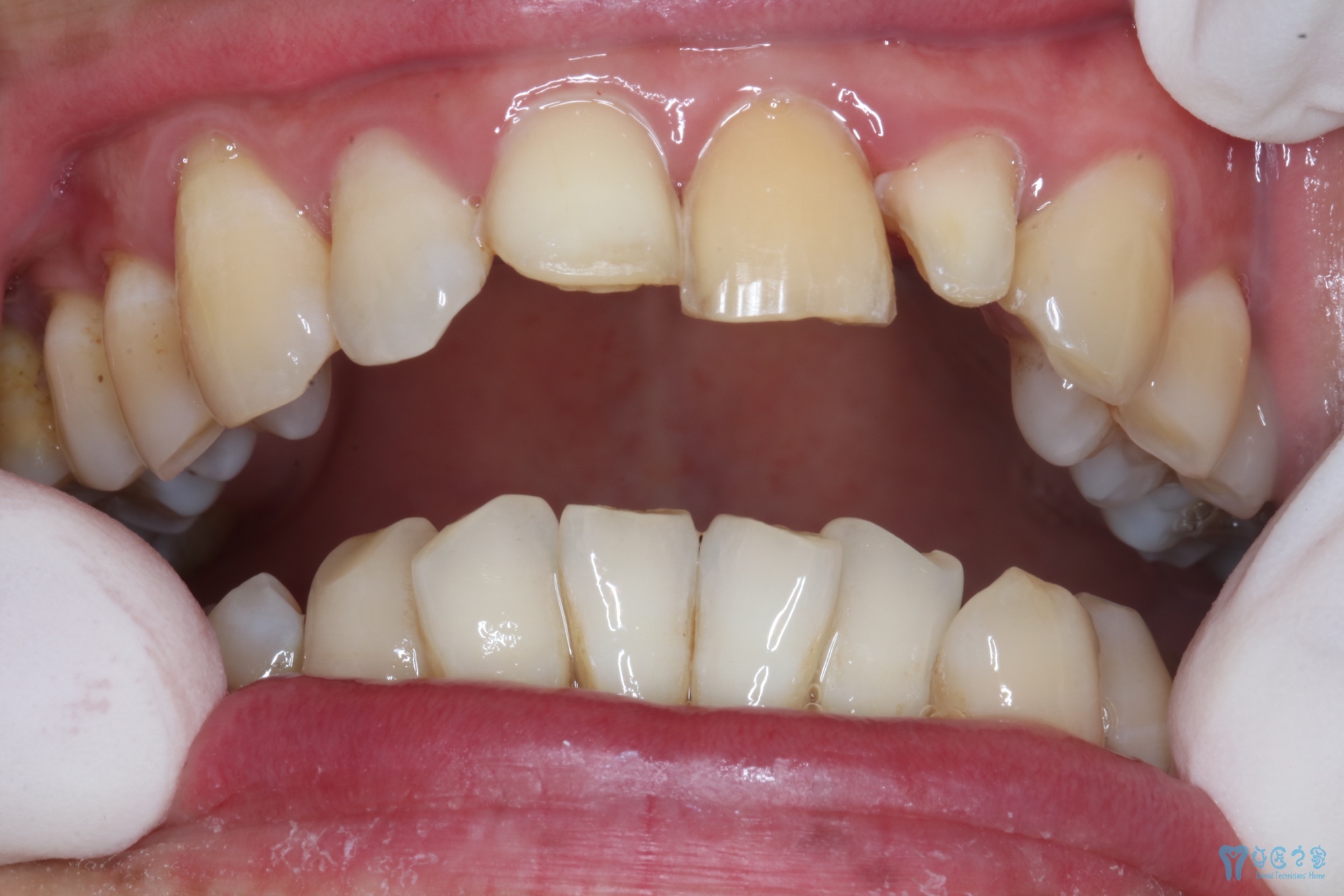
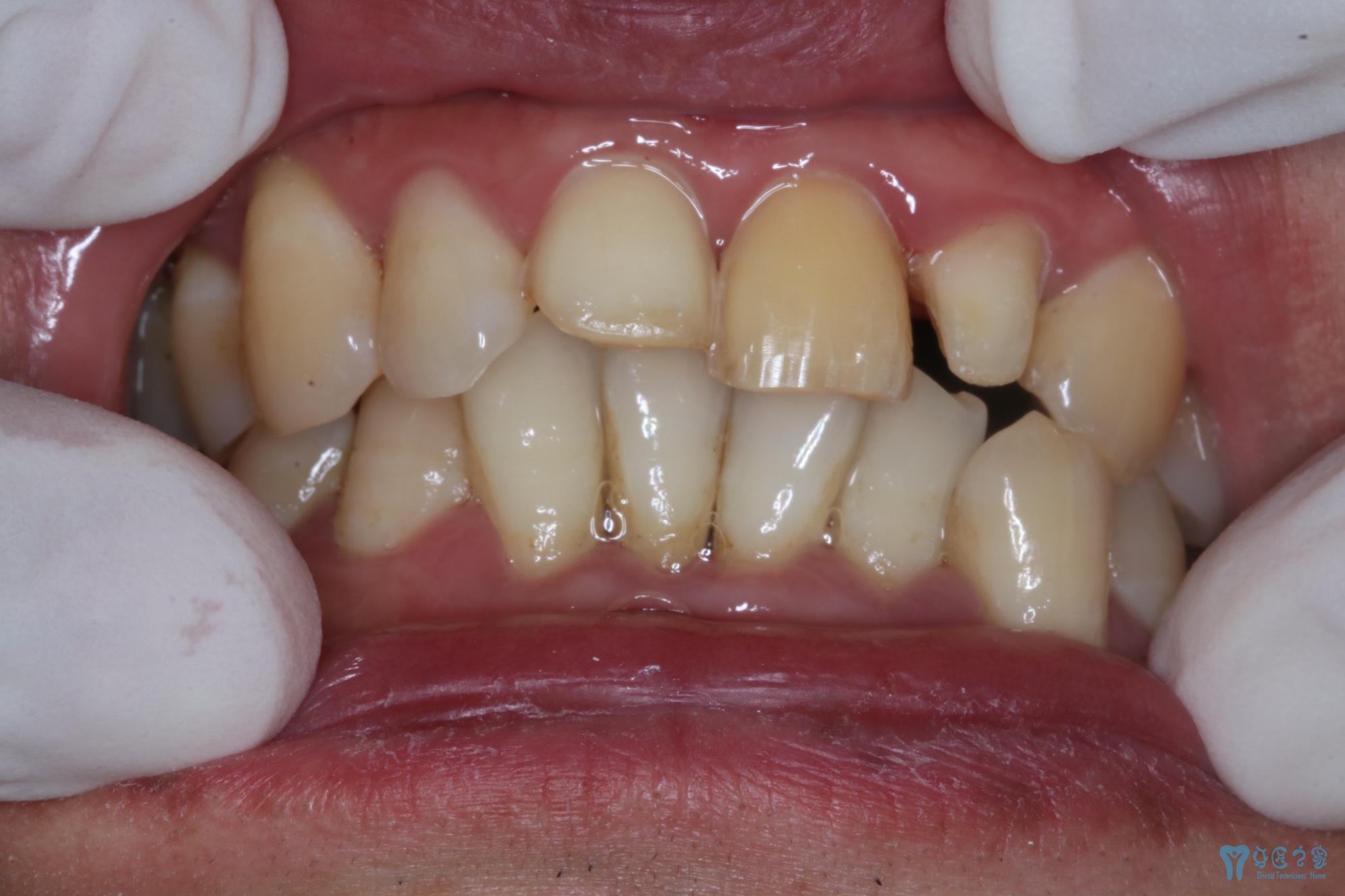
冠➕贴面
15226 11 104 2022-02-01 举报
樂彪
未设置职业 关注
评论 (11)
2022-2-1 10:38:38
举报 回复
2022-4-16 10:12:24
2022-7-5 16:24:10
2022-8-27 15:49:05
2022-11-17 15:35:40
2022-12-25 18:59:55
2023-3-6 21:36:59
2023-5-16 07:44:03
2023-7-25 07:19:28
2023-10-8 16:21:25
2023-12-26 10:08:53
关注 私信
5 帖子10粉丝
你可能会喜欢
铸瓷贴面Lux Art Dentaire
耐火材贴面Amin Hasoneh
金属内冠Jorge Carro
金属烤瓷桥IDent Зуботехничес
让你的牙科工作更出彩!
关注牙匠之家
回到顶部
寻找帮助:帮助中心
客 服QQ:77357739
联系电话:17722454920
工作时间:周一至周五 9:00-18:00
官方微博
官方微信
牙匠之家
意见反馈