种植专区更多作品

原创专区更多作品

美学案例推荐 上传作品更多优秀作品

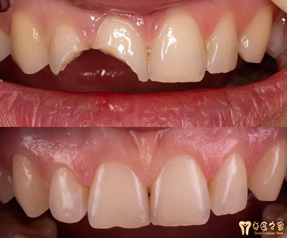
牙医病例区 14274 25 72

郭远

2020-08-04

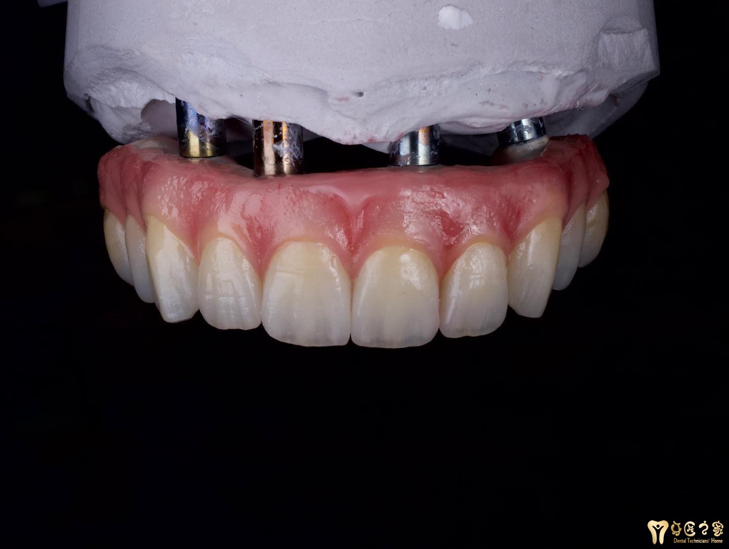
牙医病例区 19326 11 28

郭远

2022-06-08

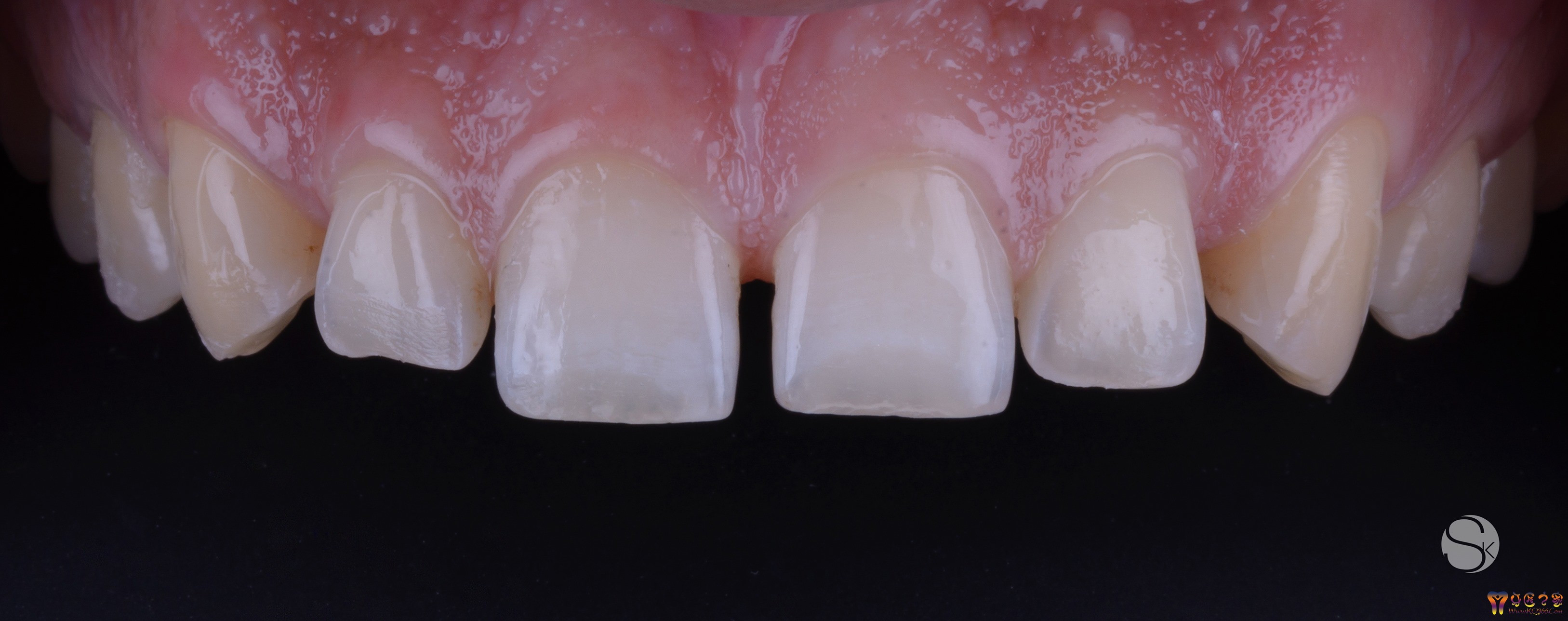
牙医病例区 7706 19 20

郭远

2021-12-11

牙医病例区 28998 23 24

郭远

2020-08-26
优秀设计师推荐 更多优秀设计师

郭远

牙匠

21769 帖子 1225 粉丝

罗凤霞

牙匠

11632 帖子 1407 粉丝

罗茂锋

未设置职业

0 帖子 6 粉丝

刘海云

牙匠

315 帖子 249 粉丝

    让你的牙科工作更出彩!

    • Powered by Discuz!
    • © 2001-2017 Comsenz Inc.
    • GMT+8, 2026-1-19 00:38 , Processed in 0.170480 second(s), 54 queries .
    QQ

     关注牙匠之家

    返回顶部