原创区
今日 : 14 主题 : 4011 收藏 : 217 排名 : 2
新窗
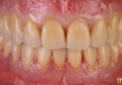
梁子豪
工作日常
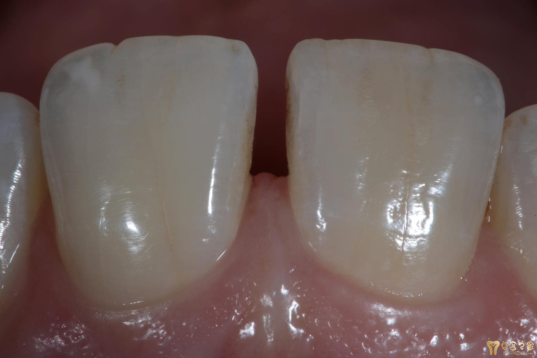
廖亚基
关注技师的培训,使他们成为更好的艺术家,这样修复体才能真正反映出医生的设计,达到患者的期望。需要倾注 ...
艾勇
学习…今天刚刚车好,上好釉。
曾环禄
刘海云
请各路大神指点一二
徐百如
大家好,这是18年前的拙作
邓剑锋兴华公司
18年前的拙作
李阳阳
很硬的材料仅次于超硬石膏模仿于大师的烤瓷牙
徒手摘星
BioHppZirconia
高琳华
请各位同仁老师点评建议
舒伟
做根管治疗,治疗后修复的每个 流程
汪柏棠
前牙全锆 设计
刘国军
赵双
正畸砖家
陈昌
美中不足: ①合平面高了 ②上前牙露齿多了 ③上下中线有偏差
余文德
肖家慧
余生请多指教
白幽灵仿真美学
莫宁
王炳龙小技师
这个支架 设计三次 才保存上
彭恺雯
合架开始,抛光结束
小威
EXO设计马垅支架,新手上路,多多指教
方兴军东莞
牙匠的基本功
崔明
不是很细节,大师请指教
ζ吖頭
纯钛桥架+氧化鋯冠
去年做的! [video=https://magimg.kq366.cn/pic/20211007/1633586968324697_949.jpg]https://magimg.kq366 ...
豪迟义齿_李宏
司健隆
下颌3到3 上颌左1 上颌左3 下颌右4 上颌4到5 上颌3到5 上颌3到2单冠 上颌1到3 ...
@王伟
王孝惠
刘刘刘刘志鹏
拉瓦爱牙学院—费智伟
费智伟
...
钟继先
附带一份工作时的牙冠
尽可能的完整记录下来,总结反省,不断改进。 ...
杨家匠
牙齿修复一例
李菊
上海和和张照文
感谢大家支持
刘子豪
工件随拍
谢珠琳
创造引人注目的牙列是烤瓷技师用人工材料复制天然牙齿的能力,这项无比艰巨的任务要求他们熟悉牙齿的解剖形 ...
多多指教
古晋立
只有做到手动心动、善于观察、勤于思考, ...
一周热门
种植区
牙医病例区
技术区
热门作者
发帖数:22119 主题数:21787
发帖数:54 主题数:11
发帖数:3532 主题数:315
发帖数:12419 主题数:11632
发帖数:3 主题数:1
发帖数:45 主题数:40
让你的牙科工作更出彩!
关注牙匠之家
回到顶部
寻找帮助:帮助中心
客 服QQ:77357739
联系电话:17722454920
工作时间:周一至周五 9:00-18:00
官方微博
官方微信
牙匠之家
意见反馈