原创区
今日 : 6 主题 : 3480 收藏 : 218 排名 : 1
新窗
加班完成了✅
雷贵霞
15135162843
口丙
技术退步了
李鑫婷
[video=https://magimg.kq366.cn/pic/20230414/1681401917109599663.jpg]https://magimg.kq366.cn/video/20 ...
悦动
嵌体#美学修复
ꫛꫀꪝ_࿐
With-G
最喜欢的 [video=https://magimg.kq366.cn/pic/20231118/1700285516628266_670.jpg]https://magimg.kq366.c ...
王泽亮
[video=https://magimg.kq366.cn/pic/20221102/1667397623425843_927.jpg]https://magimg.kq366.cn/video/2 ...
华少
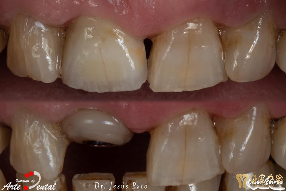
有良好的初印模,才有后面良好的修复体。 图①医生取的。 图②③使用藻酸盐二次取模法。 ...
余文德
卋罖
加油哇牙匠
周金艳
帮我检检金属大活
Lov5
练习
加油吧
胡振武
滃銘斌
工作件随手小拍
八九
[video=https://magimg.kq366.cn/pic/20221223/1671726180897526_903.jpg]https://magimg.kq366.cn/video/2 ...
励自美学陈志洋
请大家多指教!
张洪青
认识到自己无知就是最大的智慧。
学习与进步
黄泉章
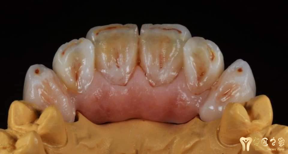
前牙全锆设计
[video=https://magimg.kq366.cn/pic/20230323/1679545932615255_622.jpg]https://magimg.kq366.cn/video/2 ...
谢三一
问一下各位师傅们:马龙桥包货用的都是什么包装?推荐一下呗,想要高端的马龙桥包装,欢迎各位大佬出意见 ...
取模: 使用金马克重体硅胶边缘整塑 使用义获嘉轻体终印 排牙 冲胶 口内效果视频 [video=https://ma ...
新手,在学校练得太少,感觉要多多练习
南橘北鱼
l
莫宁
光固化树脂嵌体
贼6
阿星
请多指教
[加油]嘉乐出品,三颗微饰瓷仿真前牙,保证强度的同时,通过内外两次效果染色来达到仿真效果。满足了患者想 ...
234
分享
Hunter
钛桥+氧化锆桥
正式接触到技师的工作✅ 定岗数字化设计 开启人生工作旅程 引用“学海无涯乐作舟” ...
婷宝的Sun
钢托+局部数字化
Alison._齿间
静哥13995599933
谢庆镇
日常工作件
王鑫艺
恩师얀동희出品
第一次雕牙,各位师傅给点建议吧
小小牙匠刘玉林
今日部分
zhaozhil
潘飞
放抽屉里拍的,
李李李
两只中切还可以更好。
默渡
一周热门
技术区
数字化中心
种植区
牙医病例区
热门作者
发帖数:22186 主题数:21854
发帖数:54 主题数:11
发帖数:3532 主题数:315
发帖数:12419 主题数:11632
发帖数:3 主题数:1
发帖数:45 主题数:40
让你的牙科工作更出彩!
关注牙匠之家
回到顶部
寻找帮助:帮助中心
客 服QQ:77357739
联系电话:17722454920
工作时间:周一至周五 9:00-18:00
官方微博
官方微信
牙匠之家
意见反馈